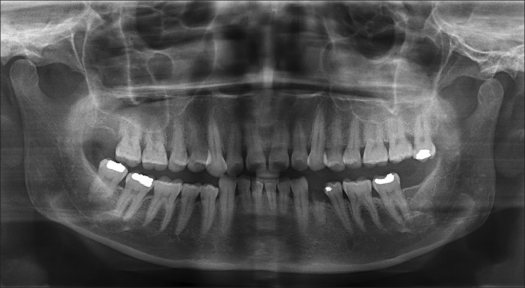
Perhaps you’ve been to the dentist recently, and you put your hands on some bars while the hygienist took an x-ray and the machine spun a portion around you to take the x-ray. Chances are that the x-ray that they took was called an Orthopantomogram, or OPG x-ray, and it was used to give the dentist a panoramic view of all your teeth on just a single film. This technique is becoming more common and is one of the best ways to get an x-ray of your mouth. Through using OPG technology, your dentist can get a better view of your mouth, with more detail about your dental health, while often reducing the amount of radiation that you’re exposed to. Here are four important things that you should understand about OPG.
- OPG can also be used to look at other health conditions. Because of the wide view and range that the OPG is able to help image, it has be used by researchers to see if you might be at risk of other health conditions, like a stroke or heart attack. As part of an OPG image, it has the capability to look at part of the neck and to look at some of the portions of your body where the arteries can thicken and accumulate plaques. This is a condition known as atherosclerosis and it is usually a precursor to heart attack and stroke. This technique has been used to observe the build-up of plaques associated with heart disease. More practically, panoramic radiography can be used by health care professionals to look for carcinomas that might occur in the jaws, some osteosarcomas, as well as other diagnoses. This is a technique that can be used to give a more full understanding of your health, and is very useful in helping you to understand your own dental results.
- Radiation exposure is low. The amount of radiation that you are exposed to as part of this technique is really small. Researchers have performed analysis of the amount of radiation exposure that the patient experiences as a result of some common dental techniques. The results from studies have come back showing that the amount of radiation that the patient is exposed to via OPG is hundreds of times less than that of some other conventional dentistry techniques.
- OPG can get you in and out of the dentist chair more quickly. This type of imaging gives a much greater amount of clarity to the typical images that dentists get, and is extremely quick. It will offer an unprecedented amount of detail when compared to the old diagnostic equipment while still using the traditional film models. This helps to make sure that dentists can integrate it effectively and quickly, without having to go through a steep learning curve or restructure their office space. Quite simply, OPG x-ray will help dentists to streamline the process of getting patients in and out, which saves you time waiting in the office as well as time in the chair.
- It will give you a better idea of your dental health than other methods. Studies have found that the ability to diagnose cavities and other dental health problems was much more efficient using panoramic x-ray technology. You probably spend a lot of time caring for your mouth and making sure that everything is okay. It’s important that the same kind of attention and care is also used in the diagnosis of your dental health. Ask your dentist whether they use OPG in the rendering of dental images, because it will give them a more defined, more clear view of your mouth that will help them make more informed decisions about how to help you.
While OPG sounds a little hard to understand and unusual, it is there to help the patients get their most effective and thorough experience with the dentist. OPG gives you small exposure to radiation, helps you get in and out of the dental chair more quickly, and helps your health in the best ways possible.


